
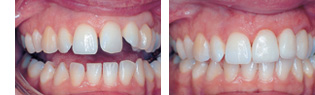
Mit Keramik-Veneers können wir das Erscheinungsbild Ihrer Zähne und Zahnreihen ästhetisch anspruchsvoll korrigieren. Veneers sind dünne Verblendschalen, die auf den Zahnoberflächen adhäsiv befestigt werden. Sie schließen genau am Zahnfleischsaum ab, sodass die korrigierten Zähne wie natürlich gewachsen scheinen.
Trotz ihrer Zartheit sind Keramik-Veneers äußerst langlebig, stabil und belastbar. Ihre feine Beschaffenheit erweist sich als besonderer Vorteil. Denn bei der minimalinvasiven Therapie mit Veneers muss nur sehr wenig Zahnsubstanz abgetragen werden. Zum Vergleich: Für eine Überkronung werden ca. 1,2 bis 1,8 Millimeter vom Zahn abgeschliffen, bei einem Veneer gerade einmal die hauchdünne Schicht von 0,5 bis 0,7 Millimeter. Keramik-Veneers sind absolut gewebefreundlich. Sie eignen sich hervorragend für die Front- und Eckzähne und können sogar bis in den Seitenzahnbereich hinein eingesetzt werden.
Unsere Keramik-Veneers sind Maßanfertigungen. Zuerst betrachten wir Ihre Gesichtsproportionen, Ihre Zahnfarbe, Ihre Zahnform, das Zahnfleisch, seinen Verlauf, und die
Lippen. Danach modellieren wir die Veneers in Wachs auf einem Modell. Aus diesen Wax-ups entwickelt der Zahntechniker für Sie Kunststoff-Veneers, sogenannte Mock-ups. Mit ihnen können Sie vorab das Ergebnis betrachten und die ästhetischen Veränderungen direkt erleben. Während der Anprobe überprüfen wir gemeinsam mit dem Zahntechniker jedes Detail. Im Meisterlabor werden daraufhin die Veneers aus Keramik gefertigt, die wir dann in Präzisionsarbeit auf Ihren Zähnen adhäsiv befestigen.