
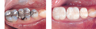
Defekte Amalgamfüllungen ersetzen wir durch hochwertige Kompositfüllungen und ästhetisch anspruchsvolle Anfertigungen aus Keramik: Inlays, Onlays, Teilkronen oder Kronen. Das sorgt nicht nur für ein schönes Erscheinungsbild Ihrer Zähne. Die Amalgamentfernung entlastet Sie langfristig von einem der schädlichsten Stoffe, denn Amalgam enthält Quecksilber. Es löst sich aus der Zahnfüllung, wird in Form von Quecksilberdampf eingeatmet und gelangt so über die Lunge in den Blutkreislauf. Je größer die Anzahl der Amalgamfüllungen, umso höher die Quecksilberkonzentration im Körper. Damit Ihr Organismus von dieser Belastung befreit wird, kombinieren wir die Amalgamentfernung mit einer begleitenden Therapie zur Amalgamausleitung aus dem Körper. Sie wird von spezialisierten Ärzten unseres Partnernetzwerks angeboten.
Hinweis: Eine umfassende Amalgamentfernung, die das Amalgam unter Kronen und in Wurzelfüllungen einbezieht, verbessert die Heilungschancen von Autoimmunerkrankungen und neuropsychologischen Krankheiten.
Bevor wir die Amalgamentfernung durchführen, ermitteln wir Ihren Immunstatus. Anhand des Ergebnisses planen wir, wann die Behandlung beginnen und über wie viele Termine sie verteilt werden sollte, um Ihren Körper zu schonen. Außerdem achten wir darauf, dass alle Entzündungen und Wunden im Mundraum vor Behandlungsbeginn abgeheilt sind. Während der Behandlung schützt Sie die Clean-Up-Box, die den Zahn vollständig umschließt. Die Amalgampartikel werden über eine Kanüle sofort abgeleitet.